
ジルコニアボンドによる前歯の審美修復
ジルコニアボンドとは? 天然歯に近い色調と強度を併せ持つオールセラミックの差し歯です。強度に優れたジルコニアセラミックの表面に、天然歯のようなグラデーションを生むセラミックを焼き付けて作ります。 ジルコニアセラミックはC […]
虫歯・歯周病・入れ歯・インプラント・矯正治療のことなら鈴鹿市の歯医者 大木歯科医院
診療時間 月〜金/9:00~18:00 土/8:30~17:30 日祝/8:30~17:00 (最終受付は診療終了30分前まで) 休診日 日曜
ジルコニアボンドとは? 天然歯に近い色調と強度を併せ持つオールセラミックの差し歯です。強度に優れたジルコニアセラミックの表面に、天然歯のようなグラデーションを生むセラミックを焼き付けて作ります。 ジルコニアセラミックはC […]
上唇小帯とは? 上唇小帯とは、上唇(うわくちびる)の内側にある上唇と歯茎をつないでいる三角のひだ状の筋のことです。 幼児の時の小帯はしっかりと歯茎にくっついており、上唇をめくるとすぐ見えるくらいの長さがあります。 小学生 […]
先天性欠損歯とは? 一般的にはあまり知られていませんが、10人に1人くらいの割合で永久歯の本数が通常よりも少ない人がいます。 先天性欠損歯が起こる明確な原因はわかっていませんが、永久歯への生え変わり時期にレントゲン写真を […]
過剰歯とは? 過剰歯(かじょうし)とは、歯種によって決まっている数以上に存在する歯のことです。成長の過程でお口のなかに生えてくる場合もあれば、生えてこない場合もあります。 過剰歯はヒトにおいては女性よりも男性に多く見られ […]
埋伏歯とは? 埋伏歯(まいふくし)とは、歯の全てまたは一部が、顎の骨や歯肉の中に埋まっている歯をいい、歯が完全に埋まっているものを「完全埋伏歯」、一部が見えているものを「半埋伏歯」といいます。 埋伏歯は必ずしも抜歯の必要 […]
埋伏歯とは? 埋伏歯(まいふくし)とは、歯の全てまたは一部が、顎の骨や歯肉の中に埋まっている歯のことです。歯が完全に埋まっているものを「完全埋伏歯」、一部が見えているものを「半埋伏歯」といいます。 埋伏歯は必ずしも抜歯の […]
難治性根尖性歯周炎とは? 感染根管治療をした後に細菌が残存していると、その先が膿んで袋状のおできになり、痛みや腫れが出る「歯根嚢胞」が出来てしまうことがあります。 再度根管治療を行っても症状が改善しないものは「難治性根尖 […]
50代女性の患者様です。 当院よりもご自宅から近い医院へ通っておられましたが、当院の患者様からご紹介をいただき転院されました。 初診時、詰め物が取れていたり、他院で治療したインプラント(右下6番の奥歯)が割れてしまうトラ […]
40代女性の患者様の症例です。 前歯のブリッジを取り外してインプラントを埋入、ホワイトニング後の歯の色に合わせたセラミックの歯を入れさせて頂きました。 インプラントは、 咬む力を支える歯の柱の数を増やすことができます。 […]
30代女性の患者様の矯正&審美症例です。 見た目を美しくしたい!早くホワイトニングをやってセラミックを入れたい!だけどなぜその前に矯正なのでしょうか? 歯並びが悪いことは見た目の問題だけではなく、お口の中の清掃状態が保て […]
オフィスホワイトニング当日の術前術後シェード写真です。 この患者様(30歳代男性)の場合はオフィスホワイトニングのみでかなりの効果が出ました。(オフィスホワイトニングの効果には個人差がございます。)
悪くなってしまった歯だけを治すのではなく、お口の中全体の機能性を重視して、全体の審美性を高めた治療例をご紹介させていただきます。 この患者様は過去に交通事故で前歯を損傷し、それから10年以上にわたって歯茎の色と歯の色を気 […]
下顎左右の奥歯がグラグラするという患者様で、実際にレントゲンで確認させていただいたところ 歯根破折をしており、抜歯せざる負えない状態でした。 治療プランとして、矯正治療をして理想的な歯並びにしてから、欠損している部位にイ […]
以前、他の歯医者で治療をした前歯の色と形が気になり来院していただきました。 40代女性ということで、見た目と今後再治療が必要ないようにセラミック治療を選択いただきました。 セラミックの歯を作る際、よりきれいな見た目にする […]
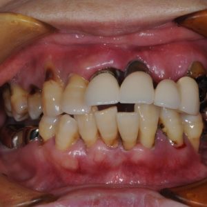
上の歯が全てグラグラと揺れ、怖くて噛めないと言うことでご来院いただきました。 レントゲン写真とお口の中の写真にて審査してところ、重度の歯周病で上の歯を支える骨が少なくなっている状態でした。 グラグラする歯は残念ながらすべ […]
前歯の長さが左右非対称で長さも左右不揃いでしたのでほんの少しだけ歯の表面を形成してすり減ってしまった部位も含めセラミックにて修復しました。
患者 66歳 女性 主訴/他院にて現在ブリッジになっている部位に対して、インプラントや義歯を勧められた。自分にとって1番ベストの治療を確認したい。 全身状態:リウマチ(因子少ない、ステロイド投与されていない)、高血圧(降 […]
機能性においてはそれほどご不満はなかったものの、もう少し綺麗にならないかとのご希望に対し、どうすれば口元がそしてお顔立ちがかっこよくなるのか??? 顔貌写真&口腔内写真&模型を元に診査をいたしました。 上の歯の長さをもう […]
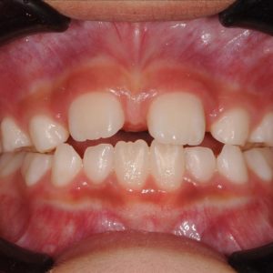
虫歯の治療、矯正の相談をご希望され来院されました。お口の中を診査(レントゲン写真、口腔内写真、視診)させていただいたところ、虫歯については問題なくきれいに歯磨きされているようでした。 正面から見るとジグザグしており、お口 […]