【症例紹介】切端咬合を考慮したセラミック治療による総合的な審美・機能改善|鈴鹿市の歯科医院
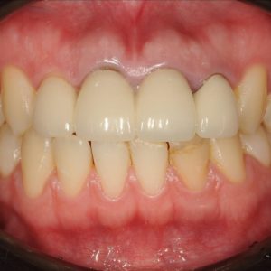
「奥歯が痛む」「噛むと違和感がある」——。こうした症状は、必ずしも単なる虫歯だけが原因とは限りません。 今回の症例では、精密な検査を行った結果、痛みや知覚過敏の背景には単なる虫歯だけでなく「噛み合わせの不調和(切端咬合) […]
虫歯・歯周病・入れ歯・インプラント・矯正治療のことなら鈴鹿市の歯医者 大木歯科医院
診療時間 月〜金/9:00~18:00 土/8:30~17:30 日祝/8:30~17:00 (最終受付は診療終了30分前まで) 休診日 日曜
「奥歯が痛む」「噛むと違和感がある」——。こうした症状は、必ずしも単なる虫歯だけが原因とは限りません。 今回の症例では、精密な検査を行った結果、痛みや知覚過敏の背景には単なる虫歯だけでなく「噛み合わせの不調和(切端咬合) […]
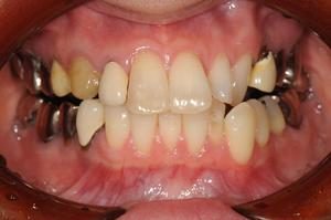
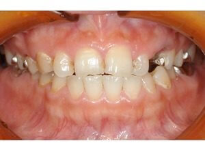
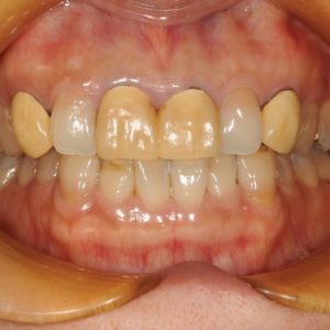
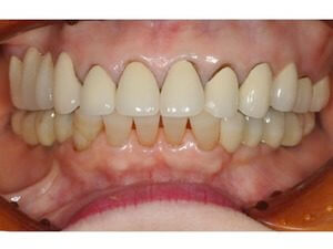
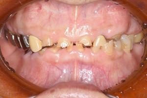
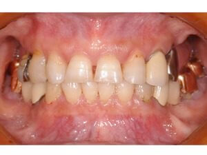
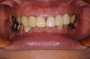
概要 年代・性別: 34歳 男性 主訴(来院理由): 全身に出ている発疹や皮膚症状の原因が口の中の金属にあると考え、口腔内の金属を全て外してほしいというご希望でした。 初診時の口腔内の状態: 口腔内には多数の銀歯(銀合金 […]
ジルコニアボンドとは? 天然歯に近い色調と強度を併せ持つオールセラミックの差し歯です。強度に優れたジルコニアセラミックの表面に、天然歯のようなグラデーションを生むセラミックを焼き付けて作ります。 ジルコニアセラミックはC […]
50代女性の患者様です。 当院よりもご自宅から近い医院へ通っておられましたが、当院の患者様からご紹介をいただき転院されました。 初診時、詰め物が取れていたり、他院で治療したインプラント(右下6番の奥歯)が割れてしまうトラ […]
40代女性の患者様の症例です。 前歯のブリッジを取り外してインプラントを埋入、ホワイトニング後の歯の色に合わせたセラミックの歯を入れさせて頂きました。 インプラントは、 咬む力を支える歯の柱の数を増やすことができます。 […]
30代女性の患者様の矯正&審美症例です。 見た目を美しくしたい!早くホワイトニングをやってセラミックを入れたい!だけどなぜその前に矯正なのでしょうか? 歯並びが悪いことは見た目の問題だけではなく、お口の中の清掃状態が保て […]
オフィスホワイトニング当日の術前術後シェード写真です。 この患者様(30歳代男性)の場合はオフィスホワイトニングのみでかなりの効果が出ました。(オフィスホワイトニングの効果には個人差がございます。)
悪くなってしまった歯だけを治すのではなく、お口の中全体の機能性を重視して、全体の審美性を高めた治療例をご紹介させていただきます。 この患者様は過去に交通事故で前歯を損傷し、それから10年以上にわたって歯茎の色と歯の色を気 […]
以前、他の歯医者で治療をした前歯の色と形が気になり来院していただきました。 40代女性ということで、見た目と今後再治療が必要ないようにセラミック治療を選択いただきました。 セラミックの歯を作る際、よりきれいな見た目にする […]
前歯の長さが左右非対称で長さも左右不揃いでしたのでほんの少しだけ歯の表面を形成してすり減ってしまった部位も含めセラミックにて修復しました。
機能性においてはそれほどご不満はなかったものの、もう少し綺麗にならないかとのご希望に対し、どうすれば口元がそしてお顔立ちがかっこよくなるのか??? 顔貌写真&口腔内写真&模型を元に診査をいたしました。 上の歯の長さをもう […]
虫歯の治療、矯正の相談をご希望され来院されました。お口の中を診査(レントゲン写真、口腔内写真、視診)させていただいたところ、虫歯については問題なくきれいに歯磨きされているようでした。 正面から見るとジグザグしており、お口 […]
30年間使ってきた前歯の差し歯の隙間が気になり始めてきたのをきっかけに天然歯の漂白を行ったのち、差し歯を作り替えました。 従来の金属の表面にセラミックを貼り付けたメタルボンドクラウンではなく、透明感の高いオールセラミック […]
噛み合わせが崩壊している場合、いきなり歯を作って入れてみてもうまくいかないケースが多いものです。 そこで、通常仮歯を入れて機能性と審美性を回復するために何度も調整を繰り返して最適な状態を探ります。 お顔立ちから前歯の最適 […]
全体的にホワイトニングを行った後、数10年前に装着されていた上顎の前歯の詰め物を除去しセラミックを貼り付ける治療・ラミネートベニアを行いました。 奥歯についても金属色が気になられるとのことでしたので、セラミックインレーを […]
かなりの歯列不正を認めたため、虫歯の処置を行ったのち、仮歯を装着。 その後、矯正治療を行い歯の並び月整ったところで、インプラントの埋入手術、最後に最終の被せ物を入れて完成
ジグザグの歯並びを気にされてご来院されました。. 見た目の問題も大切ですが、それ以上に清掃がしにくいために虫歯・歯周病に非常になりやすく、不正咬合(良くないかみ合わせ)は顎の関節に負担をかけてしまい顎関節症を引き起こす可 […]
奥歯だから見えない!と思いきや、以外と他人の目に止まる奥歯の銀歯。下顎の銀歯は実は結構目立ちます。 銀歯は明るいところで見れば銀色ですが、お口の中のような暗い所に入ると真っ黒に見えてしまうので、他人からのお口の中の印象が […]
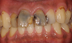
ふと鏡の中の自分を見た時、何かが違う???そうだ!前歯が黒いんだ! ということでお痛みは感じてみえませんでしたが、見た目を気にされてご来院されました。