
永久歯の本数が少ない先天性欠損歯の治療例
先天性欠損歯とは? 一般的にはあまり知られていませんが、10人に1人くらいの割合で永久歯の本数が通常よりも少ない人がいます。 先天性欠損歯が起こる明確な原因はわかっていませんが、永久歯への生え変わり時期にレントゲン写真を […]
虫歯・歯周病・入れ歯・インプラント・矯正治療のことなら鈴鹿市の歯医者 大木歯科医院
診療時間 月〜金/9:00~18:00 土/8:30~17:30 日祝/8:30~17:00 (最終受付は診療終了30分前まで) 休診日 日曜
先天性欠損歯とは? 一般的にはあまり知られていませんが、10人に1人くらいの割合で永久歯の本数が通常よりも少ない人がいます。 先天性欠損歯が起こる明確な原因はわかっていませんが、永久歯への生え変わり時期にレントゲン写真を […]
埋伏歯とは? 埋伏歯(まいふくし)とは、歯の全てまたは一部が、顎の骨や歯肉の中に埋まっている歯をいい、歯が完全に埋まっているものを「完全埋伏歯」、一部が見えているものを「半埋伏歯」といいます。 埋伏歯は必ずしも抜歯の必要 […]
難治性根尖性歯周炎とは? 感染根管治療をした後に細菌が残存していると、その先が膿んで袋状のおできになり、痛みや腫れが出る「歯根嚢胞」が出来てしまうことがあります。 再度根管治療を行っても症状が改善しないものは「難治性根尖 […]
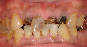
39歳男性です。 前歯がかけてきていることは気にはなっていましたが、なかなか歯科医院に足を運べずにいました。 とのこと。
前歯の歯根嚢胞とは? 感染根管治療をした歯の根っこの先端部分に細菌が残存していると、その先が膿んで袋状のおできになり、痛みや腫れが出る「歯根嚢胞」という病気になることがあります。 この歯根嚢胞に対しては再度根管治療を行な […]