【症例紹介】切端咬合を考慮したセラミック治療による総合的な審美・機能改善|鈴鹿市の歯科医院
「奥歯が痛む」「噛むと違和感がある」——。
こうした症状は、必ずしも単なる虫歯だけが原因とは限りません。
今回の症例では、精密な検査を行った結果、痛みや知覚過敏の背景には単なる虫歯だけでなく「噛み合わせの不調和(切端咬合)」による過度な負担が関与していることが分かりました。
痛みの根本原因にアプローチする根管治療をはじめ、お口全体の印象を明るく整えるホワイトニング、さらに機能性と審美性の両立を図ったセラミック修復まで、健康で美しい口元を取り戻すための治療の全体像をご紹介します。
概要
年代・性別:
60歳 男性
主訴(来院理由):
右上の奥歯の痛み、および左下の奥歯で噛んだ時の痛み
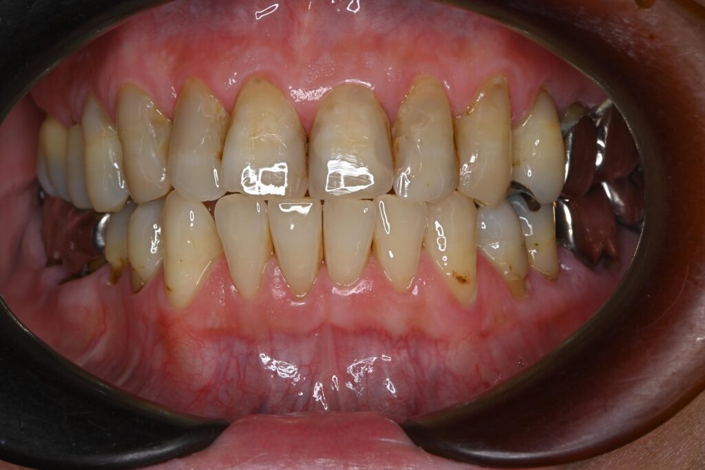
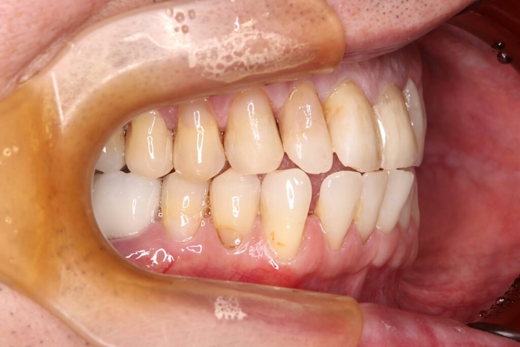
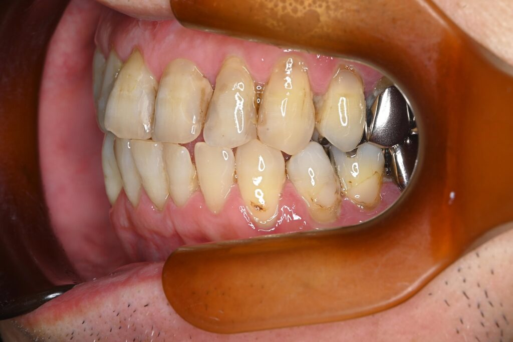
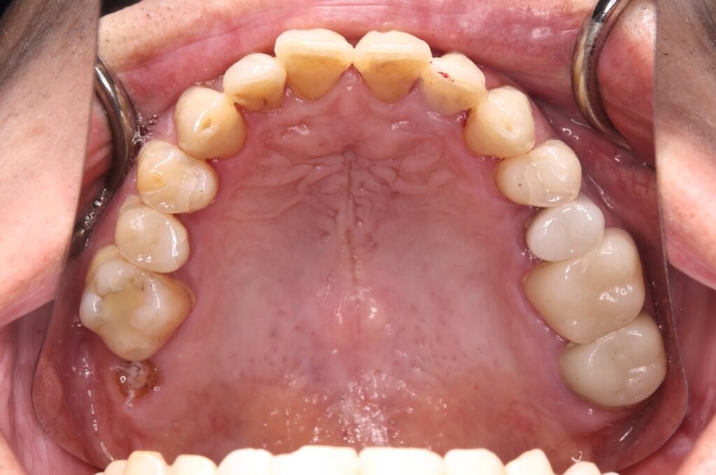
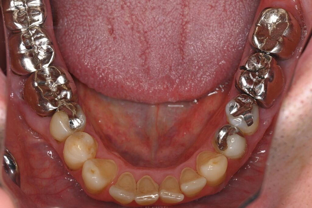
初診時の口腔内の状態:
お口全体に虫歯や歯周病の原因となるプラーク(歯垢)が多く付着していました。右上奥歯は重度の虫歯で歯冠部(歯の頭)が失われており、左下奥歯は過去の治療箇所から細菌が入り込み、根の先に炎症が起きている状態でした。
また、左右の奥歯にはWSD(楔状欠損)があり、知覚過敏も見られました。
WSD(楔状欠損):
歯頸部(歯の根元)が、くさび状に欠損している状態です。
過度なブラッシング圧だけでなく、咬合力の集中や繰り返しかかる力による咬合性ストレスが関与すると考えられています。
進行すると、知覚過敏の原因となります。
診断と治療方針
診断内容:
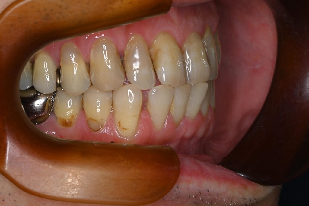
単なる虫歯だけでなく、「切端咬合(せったんこうごう)」という噛み合わせの不調和が根本的な問題であると診断しました。この噛み合わせにより奥歯に過度な負担がかかり、知覚過敏や歯の損傷を引き起こしていました。
切端咬合(せったんこうごう):
上下の前歯が先端同士で接触する噛み合わせのことです。
本来は奥歯で受けるべき咬合力が前歯に集中しやすく、前歯の摩耗や欠け、知覚過敏(WSD)を引き起こす原因となることがあります。
また、噛み合わせのバランスが崩れることで、結果的に奥歯や顎関節に負担が及ぶ場合もあります。
考えられる治療法の選択肢:
- 矯正治療:
噛み合わせを根本から改善する最適な方法。 - 咬合調整と補綴治療:
現在の噛み合わせの中で、負担を分散させるよう被せ物を設計し、セラミックで修復する方法。
選択した治療法とその理由:
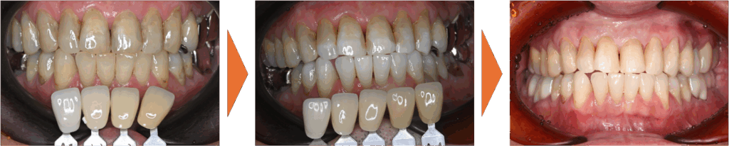
患者様と相談の結果、期間や費用の面から矯正治療は行わず、「現在の噛み合わせを整えながら、金属をセラミックへやり替える治療」を選択しました。
補綴治療は、先にホワイトニングを行い、お口全体のトーンを明るくしてから、その色に合わせて精密なセラミックの被せ物を作製することになりました。
治療の流れ
- 初期治療と除菌:
プラークコントロールを行い、口腔内の除菌を優先しました。 - 根管治療:
痛みが出ていた左下の根の炎症に対し、精密な根管治療を実施しました。 - 知覚過敏処置:
えぐれている部分(WSD:楔状欠損)に対し、樹脂(CR)による充填治療を行いしみる症状を抑えました。 - ホワイトニング:
セラミックを作製する前に全体的なトーンアップを行い、基準となる色を作りました。 - 審美修復(セラミック治療):
前歯の虫歯治療と、奥歯の古い金属をセラミックへ交換しました。 - 噛み合わせの調整:
切端咬合による過度な力が特定の歯にかからないよう、慎重に調整を行いました。
治療のこだわりポイント
- 「素材」へのこだわり:
切端咬合による噛み合わせの負担を考慮し、補綴材料としてジルコニアを選択しました。
ジルコニアは非常に高い強度と耐久性を持つ素材で、強い咬合力がかかる症例においても破折リスクを抑えやすい特性があります。 - 「色」へのこだわり:
セラミックは一度作ると後から色が変えられません。そのため、先にホワイトニングを行って理想の白さを手に入れてから、その色に合わせてセラミックを作製することで、周囲の歯と調和した自然な仕上がりを実現しました。 - 「守る」ための設計:
噛む力のバランスに偏りが生じやすい切端咬合のリスクを考慮し、治療後も歯が折れたり欠けたりしないよう、噛む力のコントロールを重視した設計とメンテナンスを行っています。

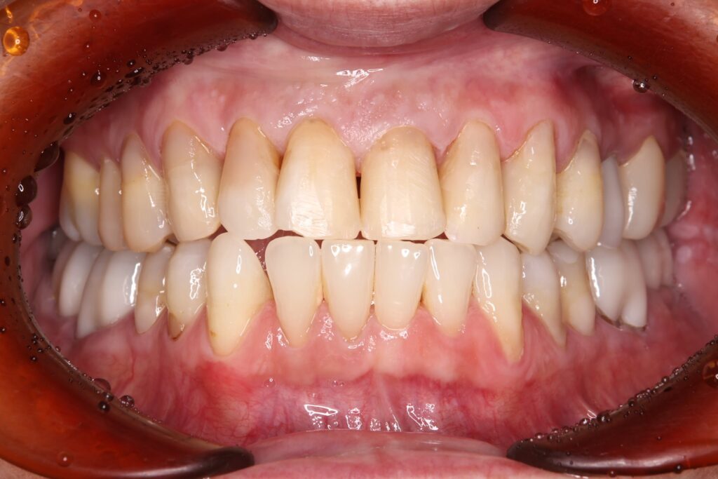
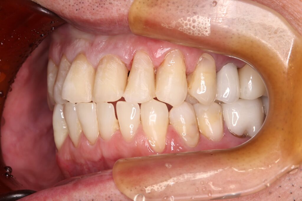
治療結果
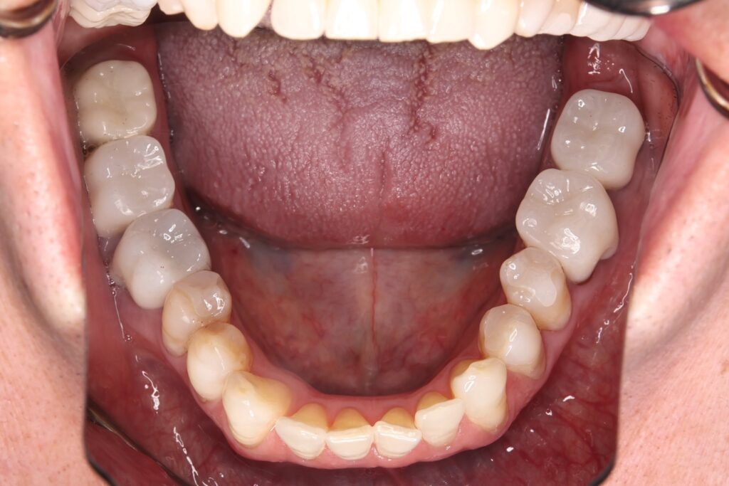
銀歯をすべてセラミックへ置き換え、あわせてホワイトニングを行ったことで、口腔内全体が明るく清潔感のあるお口元になりました。また審美的な向上が得られただけでなく、プラーク(細菌)が付着しにくい環境を整えることができた点も大きな成果です。
また、痛みや違和感の原因となっていた部位についても適切な処置を行ったことで、現在は違和感なく、安心して噛める状態が維持されています。
機能面と審美面の両面において、良好な治療結果が得られました。
費用・期間・リスク
治療費:
約120万
内訳:ホームホワイトニング、インレー・クラウン(計14本)
治療期間:
約4ヶ月(根管治療やホワイトニング期間を含む)
WSDに対するCR充填は、処置本数にもよりますが一回で終わります。
ホームホワイトニングの期間は、一般的に約2週間〜1か月です。
リスク・副作用:
・強い噛み合わせ(切端咬合)により、セラミックが破折する可能性があります。
・知覚過敏の症状には個人差があり、処置後もしばらくしみる場合があります。
・定期的なメインテナンスを継続しない場合、再発のリスクが高まります。
まとめ
今回の症例は、痛みを取り除くだけでなく、ホワイトニングとセラミック治療を組み合わせることで、機能面と審美面を両立させた総合的な歯科治療となりました。
たとえるなら、「傾いた土地(噛み合わせ)に建つ家を、地盤から補強してリフォームした」ようなものです。ただ壁紙(見た目)を綺麗にするだけでなく、家を支える基礎(初期治療)を固め、地盤の歪みに合わせた柱(セラミック補綴)を立てることで、長く安心して暮らせる環境が整いました。
三重県鈴鹿市にある歯医者 大木歯科医院では、単に悪いところを治すだけでなく、患者様の将来を見据え、一歯単位ではなく「一口腔単位」での管理を大切にしています。
お口全体のバランスや、銀歯の見た目でお悩みの方は、ぜひお気軽にご相談ください。
この記事の編集・責任者は歯科医師の笠井 啓次です。
Before
After










(セラミック治療・ホワイトニング専門サイトへ )







