セラミック治療・ホワイトニング
メタルフリー
現在あなたのお口の中に、銀歯はありますか?
入っている方は、健康保険の範囲内で選択されたものだと思われますが、この銀歯、実はある程度の年数で外したほうが良いものなのです。
詳しく見る
虫歯・歯周病・入れ歯・インプラント・矯正治療のことなら鈴鹿市の歯医者 大木歯科医院
診療時間 月〜金/9:00~18:00 土/8:30~17:30 日祝/8:30~17:00 (最終受付は診療終了30分前まで) 休診日 日曜
現在あなたのお口の中に、銀歯はありますか?
入っている方は、健康保険の範囲内で選択されたものだと思われますが、この銀歯、実はある程度の年数で外したほうが良いものなのです。
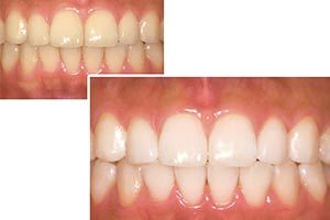
歯は加齢や普段の食生活によって、だんだんと色が黄色みを帯びてきます。
口元の印象は他人への第一印象に大きく関わるだけではなく、コンプレックスをなくし美しい笑顔を手に入れることは、ストレスの軽減にも繋がります。
“ホワイトニング”によって歯の色が明るくなるだけで人の顔の印象は変わり、明るく見えます。
セラミック治療・ホワイトニングと聞くと、見た目の美しさだけを追求する特別な治療をイメージするかもしれませんが、セラミック治療・ホワイトニングにおいて、歯の美しさは当たり前のことなのです。
大切なことは、歯並びと顔との調和、そして素敵なスマイル。それらは歯本来の機能をしっかりと考えた治療の上に成り立ちます。