小臼歯の埋伏歯開窓牽引と全体矯正
埋伏歯とは? 埋伏歯(まいふくし)とは、歯の全てまたは一部が、顎の骨や歯肉の中に埋まっている歯をいい、歯が完全に埋まっているものを「完全埋伏歯」、一部が見えているものを「半埋伏歯」といいます。 埋伏歯は必ずしも抜歯の必要 […]
虫歯・歯周病・入れ歯・インプラント・矯正治療のことなら鈴鹿市の歯医者 大木歯科医院
診療時間 月〜金/9:00~18:00 土/8:30~17:30 日祝/8:30~17:00 (最終受付は診療終了30分前まで) 休診日 日曜
埋伏歯とは? 埋伏歯(まいふくし)とは、歯の全てまたは一部が、顎の骨や歯肉の中に埋まっている歯をいい、歯が完全に埋まっているものを「完全埋伏歯」、一部が見えているものを「半埋伏歯」といいます。 埋伏歯は必ずしも抜歯の必要 […]
埋伏歯とは? 埋伏歯(まいふくし)とは、歯の全てまたは一部が、顎の骨や歯肉の中に埋まっている歯のことです。歯が完全に埋まっているものを「完全埋伏歯」、一部が見えているものを「半埋伏歯」といいます。 埋伏歯は必ずしも抜歯の […]
50代女性の患者様です。 当院よりもご自宅から近い医院へ通っておられましたが、当院の患者様からご紹介をいただき転院されました。 初診時、詰め物が取れていたり、他院で治療したインプラント(右下6番の奥歯)が割れてしまうトラ […]
30代女性の患者様の矯正&審美症例です。 見た目を美しくしたい!早くホワイトニングをやってセラミックを入れたい!だけどなぜその前に矯正なのでしょうか? 歯並びが悪いことは見た目の問題だけではなく、お口の中の清掃状態が保て […]
悪くなってしまった歯だけを治すのではなく、お口の中全体の機能性を重視して、全体の審美性を高めた治療例をご紹介させていただきます。 この患者様は過去に交通事故で前歯を損傷し、それから10年以上にわたって歯茎の色と歯の色を気 […]
下顎左右の奥歯がグラグラするという患者様で、実際にレントゲンで確認させていただいたところ 歯根破折をしており、抜歯せざる負えない状態でした。 治療プランとして、矯正治療をして理想的な歯並びにしてから、欠損している部位にイ […]
患者 66歳 女性 主訴/他院にて現在ブリッジになっている部位に対して、インプラントや義歯を勧められた。自分にとって1番ベストの治療を確認したい。 全身状態:リウマチ(因子少ない、ステロイド投与されていない)、高血圧(降 […]
虫歯の治療、矯正の相談をご希望され来院されました。お口の中を診査(レントゲン写真、口腔内写真、視診)させていただいたところ、虫歯については問題なくきれいに歯磨きされているようでした。 正面から見るとジグザグしており、お口 […]
全体的な歯並びの矯正治療を行いました。治療期間は3年間。
ジグザグの歯並びを気にされてご来院されました。. 見た目の問題も大切ですが、それ以上に清掃がしにくいために虫歯・歯周病に非常になりやすく、不正咬合(良くないかみ合わせ)は顎の関節に負担をかけてしまい顎関節症を引き起こす可 […]
歯の大きさに対する顎の大きさのスペース不足により歯が並びきらず、ジグザグの歯並びおよび上の前歯が出っ歯になっていました。 左右4番の歯を抜歯することにより歯を並べるスペースを確保し、歯並びを揃えました。 全体の歯並びが綺 […]
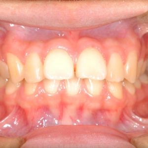
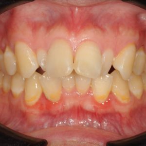
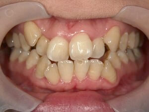
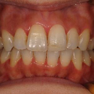
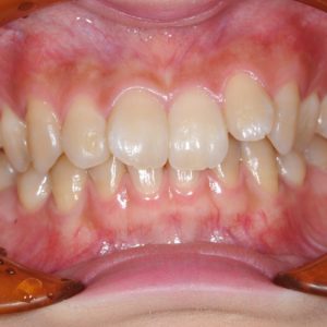
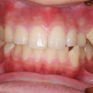
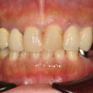
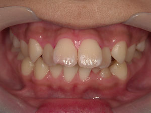
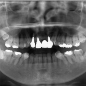
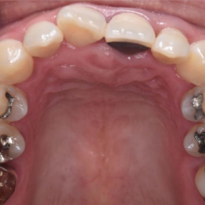
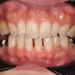
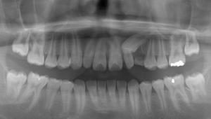
左上3番目の歯がなかなか生えてこないということを主訴に来院された子供さん(13歳)です。 レントゲン写真にて歯の位置を確認しました所、2番目の歯の下に位置しており、かなり方向がずれていることが判明しました。 そこで埋伏歯 […]
小児矯正における出っ歯の改善に咬合誘導をおこなった矯正がもっとも有効です。 この患者様には、バイオネーター(機能的矯正装置)という装置を用いて矯正治療を行いました。 バイオネーターは、取り外し可能な矯正装置で出っ歯の改善 […]
数十年前から受け口の状態だった患者様ですが、矯正治療により受け口の改善を行い、その後変色した差し歯を作り替えました。
上の前歯が出ている事を気にされてご来院されました。
上顎前歯4本が虫歯のために差し歯となっていましたが、清掃不良が続き抜歯せざるを得ない状況となりました。 もともと、犬歯(真ん中から3番目の歯)が八重歯となっており、その歯を土台としたブリッジは困難であったためにっ矯正治療 […]