
セラミック治療・ホワイトニング
ホワイトニング
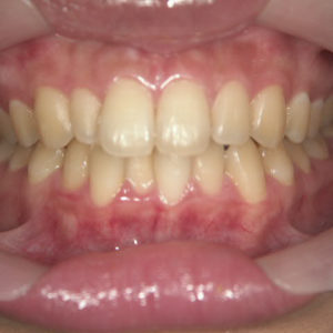
ホームホワイトニングで口元がすっきりしました。 歯の黄ばみが気になってご来院されました。 歯を削る事なくマウスピースにホワイトニングの薬を入れて2週間漂白しました。
詳しく見る
虫歯・歯周病・入れ歯・インプラント・矯正治療のことなら鈴鹿市の歯医者 大木歯科医院
診療時間 月〜金/9:00~18:00 土/8:30~17:30 日祝/8:30~17:00 (最終受付は診療終了30分前まで) 休診日 日曜
ホームホワイトニングで口元がすっきりしました。 歯の黄ばみが気になってご来院されました。 歯を削る事なくマウスピースにホワイトニングの薬を入れて2週間漂白しました。
前歯が黒くなってきて、見た目が気になるとのこで来院。 昔、他院で神経の処置を行い現在は痛みなどはない。
前歯の歯根嚢胞とは? 感染根管治療をした歯の根っこの先端部分に細菌が残存していると、その先が膿んで袋状のおできになり、痛みや腫れが出る「歯根嚢胞」という病気になることがあります。 この歯根嚢胞に対しては再度根管治療を行な […]
上顎前歯4本が虫歯のために差し歯となっていましたが、清掃不良が続き抜歯せざるを得ない状況となりました。 もともと、犬歯(真ん中から3番目の歯)が八重歯となっており、その歯を土台としたブリッジは困難であったためにっ矯正治療 […]