セラミック治療・ホワイトニング施術紹介

【症例紹介】金属アレルギーによる全身症状の改善を目指した金属除去・非金属(ジルコニア・PMMA)置換治療

概要

年代・性別:
34歳 男性

主訴(来院理由):
全身に出ている発疹や皮膚症状の原因が口の中の金属にあると考え、口腔内の金属を全て外してほしいというご希望でした。

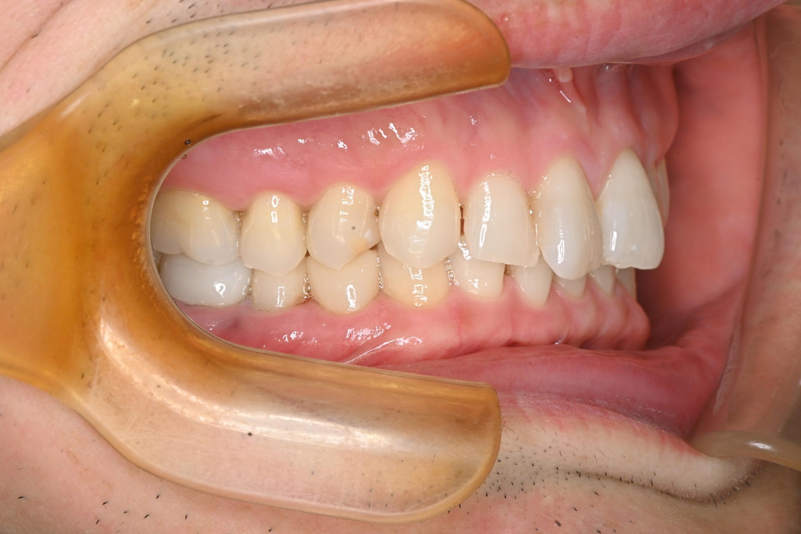
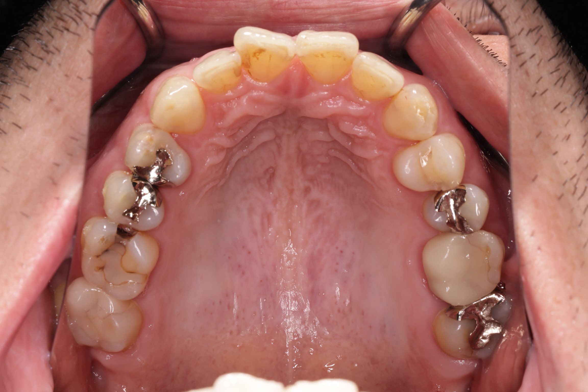
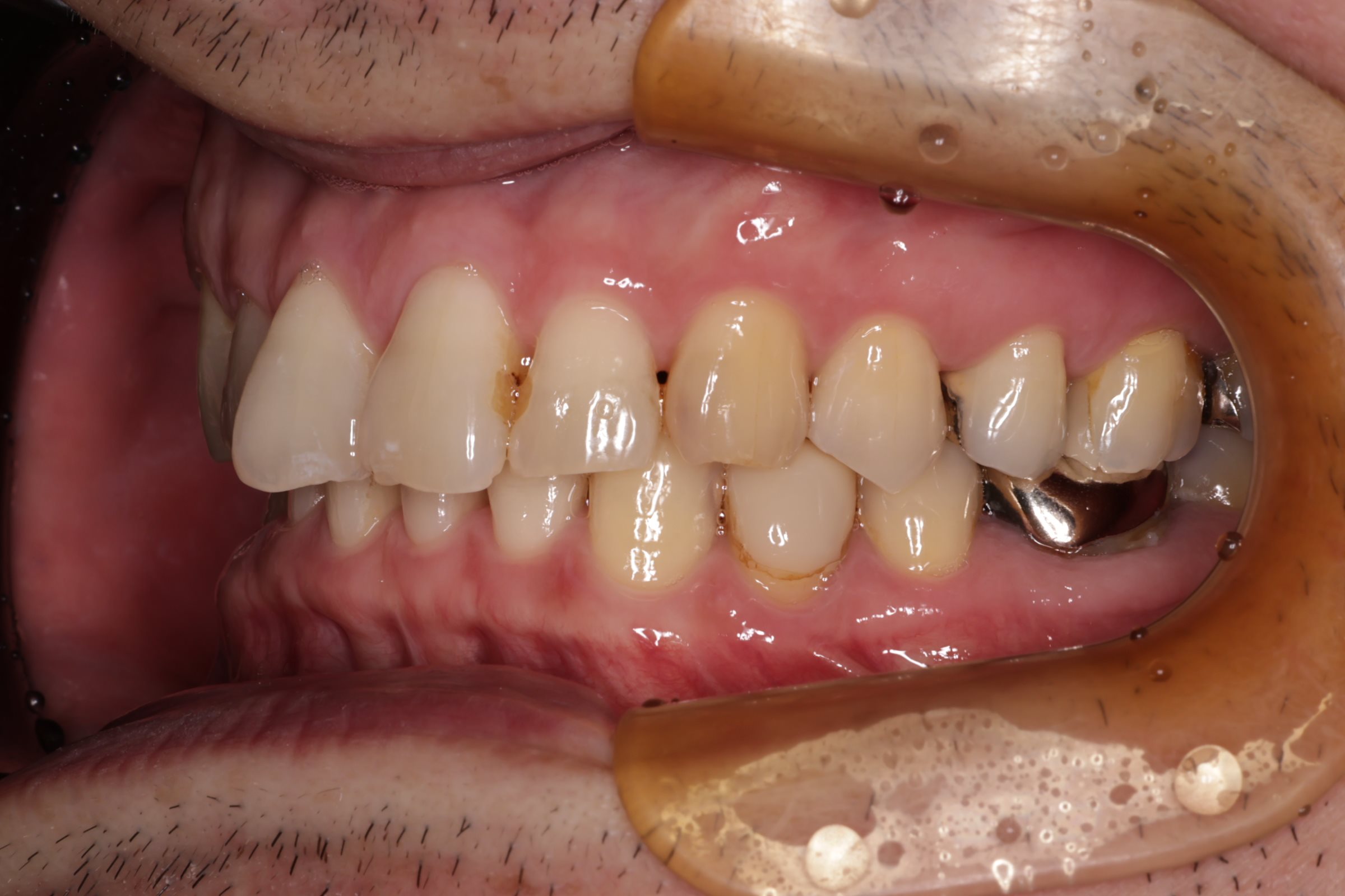
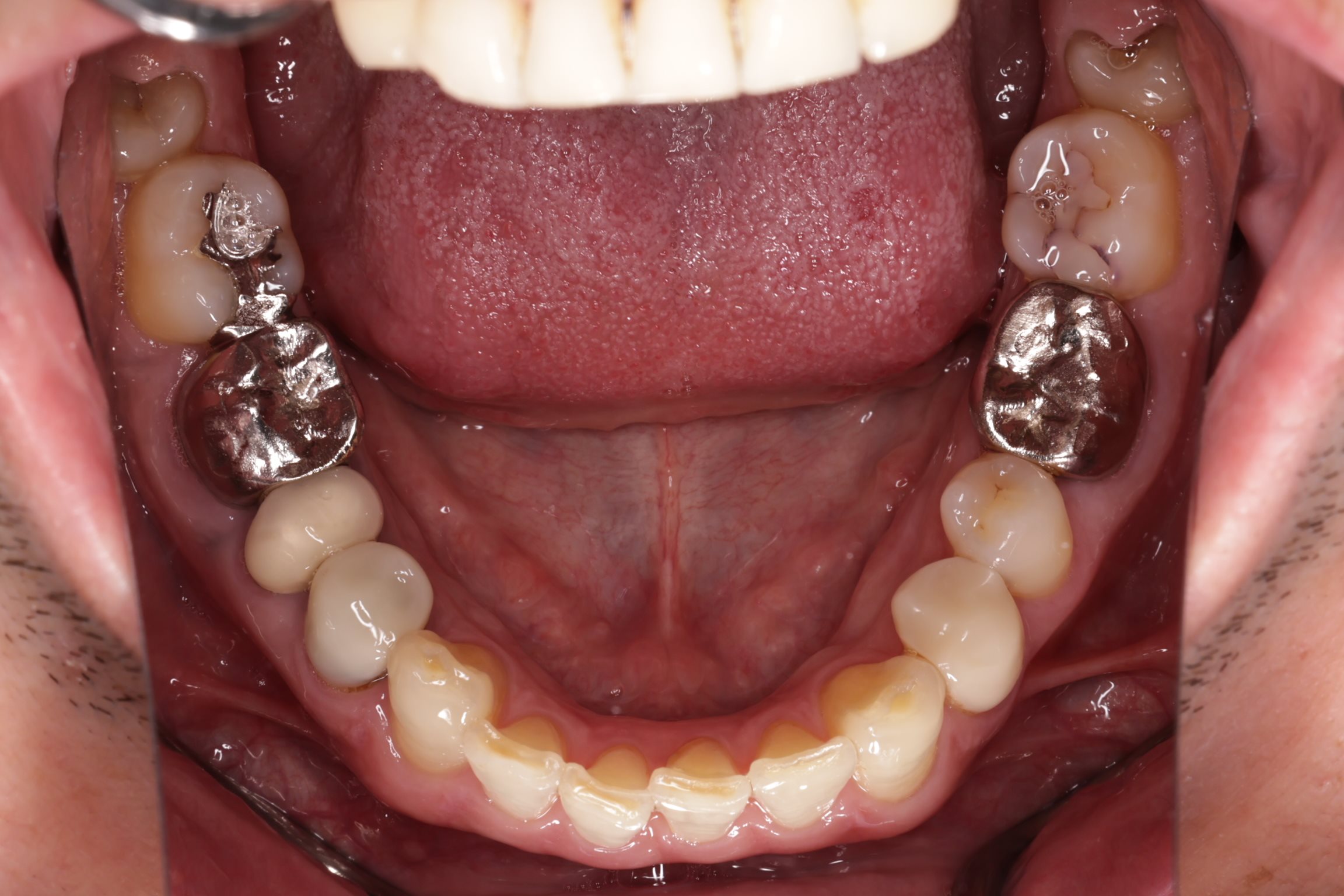
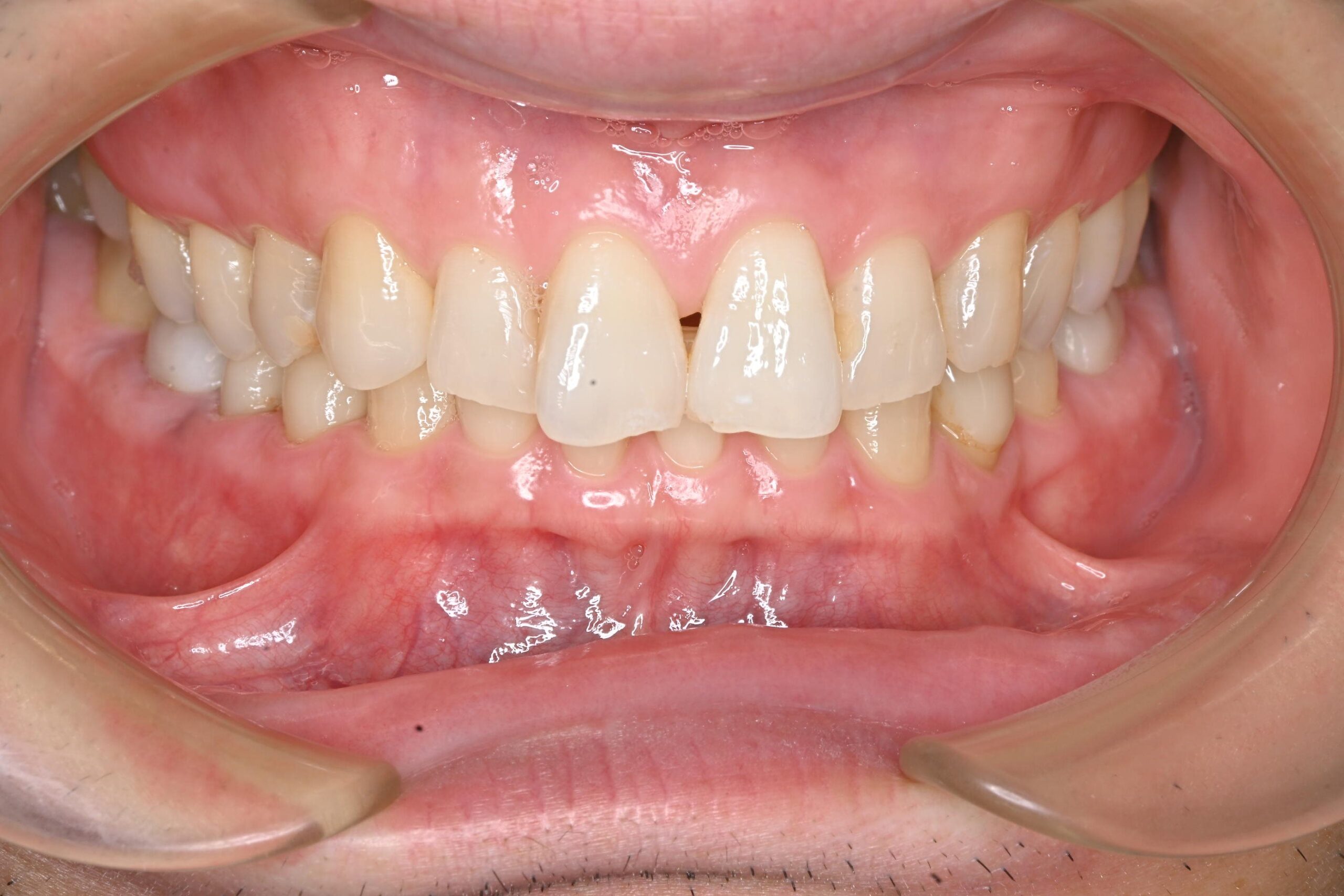
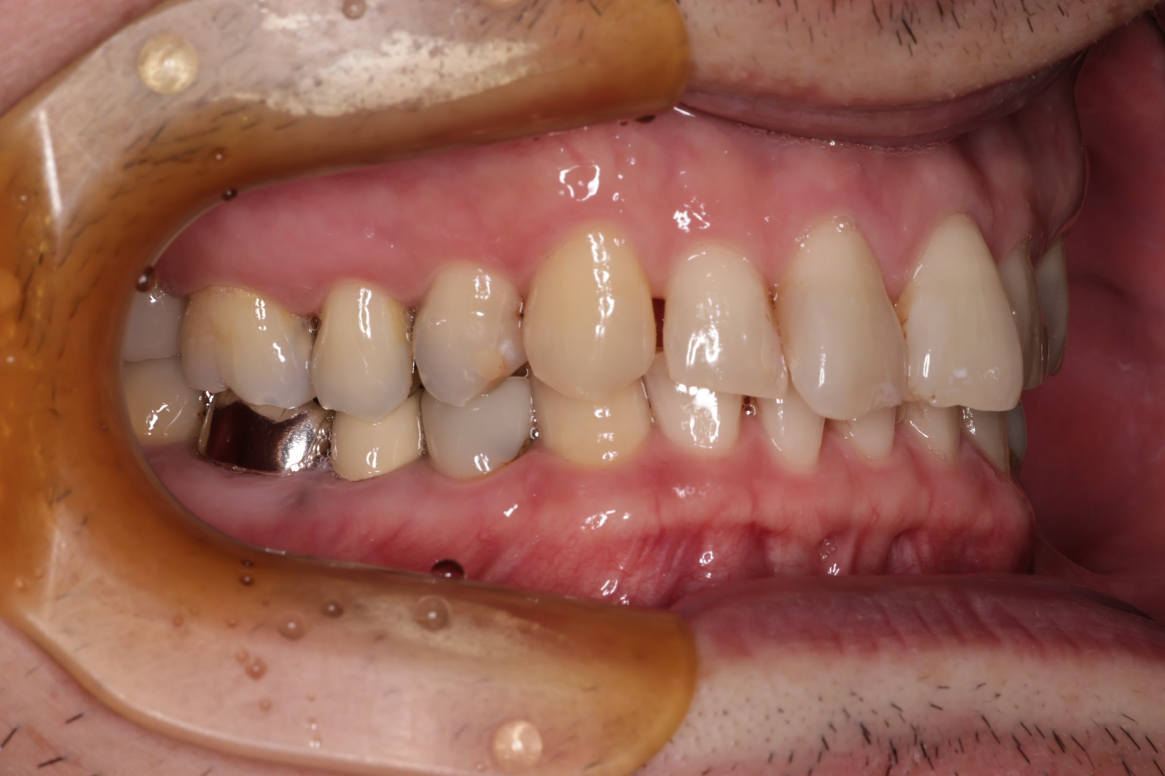
初診時の口腔内の状態:
口腔内には多数の銀歯(銀合金)が確認されました。患者様は過去に多くの虫歯治療を受けており、そのほとんどが保険適用内の銀合金で修復されていました。

来院のきっかけ:
ご自身でホームページなどで調べた結果、手足にできている発疹(出身)が、金属アレルギーが原因で発生しているのではないかと気づかれました。すでに皮膚科でパッチテストを受けており、特にニッケルなどに対するアレルギーがあることを検査結果から把握されていました。

診断と治療方針

診断内容:
患者様はパッチテストによりニッケルなどに対するアレルギーを持っていることが確認されており、口腔内の銀合金もアレルギーの原因となっている可能性が高いと診断しました。また、レントゲン画像を確認すると、被せ物や詰め物の内部、あるいは隙間から、虫歯(カリエス)や根の細菌感染が疑われる状態も確認されました。

考えられる治療法の選択肢:
患者様の主なご要望は、金属アレルギーの原因となる口腔内の金属を全て除去することでした。金属を除去した後、審美性、機能性、および生体適合性に優れた素材で修復を行う必要があります。
選択した治療法とその理由: 口腔内の銀合金を全て撤去し、カリエスや感染部位を全て除去・消毒した上で、非金属素材(セラミックやジルコニア、プラスチック/PMMA)を用いて修復・補綴を行う方針としました。

この治療を選択した理由は、患者様が抱える金属アレルギーの懸念を解消することに加え、銀歯の年数経過による二次カリエスのリスクや、美的な問題、歯の内部の感染リスク を包括的に解決するためです。

治療の流れ

治療工程:
古い金属を撤去し、開けてみて確認された虫歯(カリエス)を除去し、型取りを行い、その後被せ物を装着するというシンプルな工程で進めました。
一部の歯(右下の5番目)については、銀歯の詰め物の隙間から細菌が侵入し、歯の根の中が細菌感染している兆候が見られたため、この機会に歯の内部の消毒(根管治療)を挟んで処置を行いました。

効率化の工夫:
患者様から「症状が強かったため、早くやってほしい」というご要望があったため、なるべく治療を効率的に進めるよう工夫しました。

  1. ブロック単位の治療:
    2本もしくは3本単位で、ブロックごとにまとめて治療を進めました。
  2. 虫歯治療と歯周病治療の同時進行:
    麻酔が効いている間に、歯の処置だけでなく、歯周病治療の一環として歯の周囲に付着した歯石の除去も同時に行いました。
    これにより、何度も来院していただく負担を減らし、口腔全体として効率的な治療を進めることができました。

期間・来院回数:
修復処置は、型取りが1回目、被せ物の装着が2回目という流れが基本です。
歯の内部の消毒(根管治療)を要する部位については、プラス1~2日分の来院が必要となりました。

治療のこだわりポイント

本症例では、機能面と審美面、そして患者様の経済的なご要望をバランスよく満たす素材選択にこだわりました。

使用した材料と審美的・機能的配慮:

  • 審美性重視:
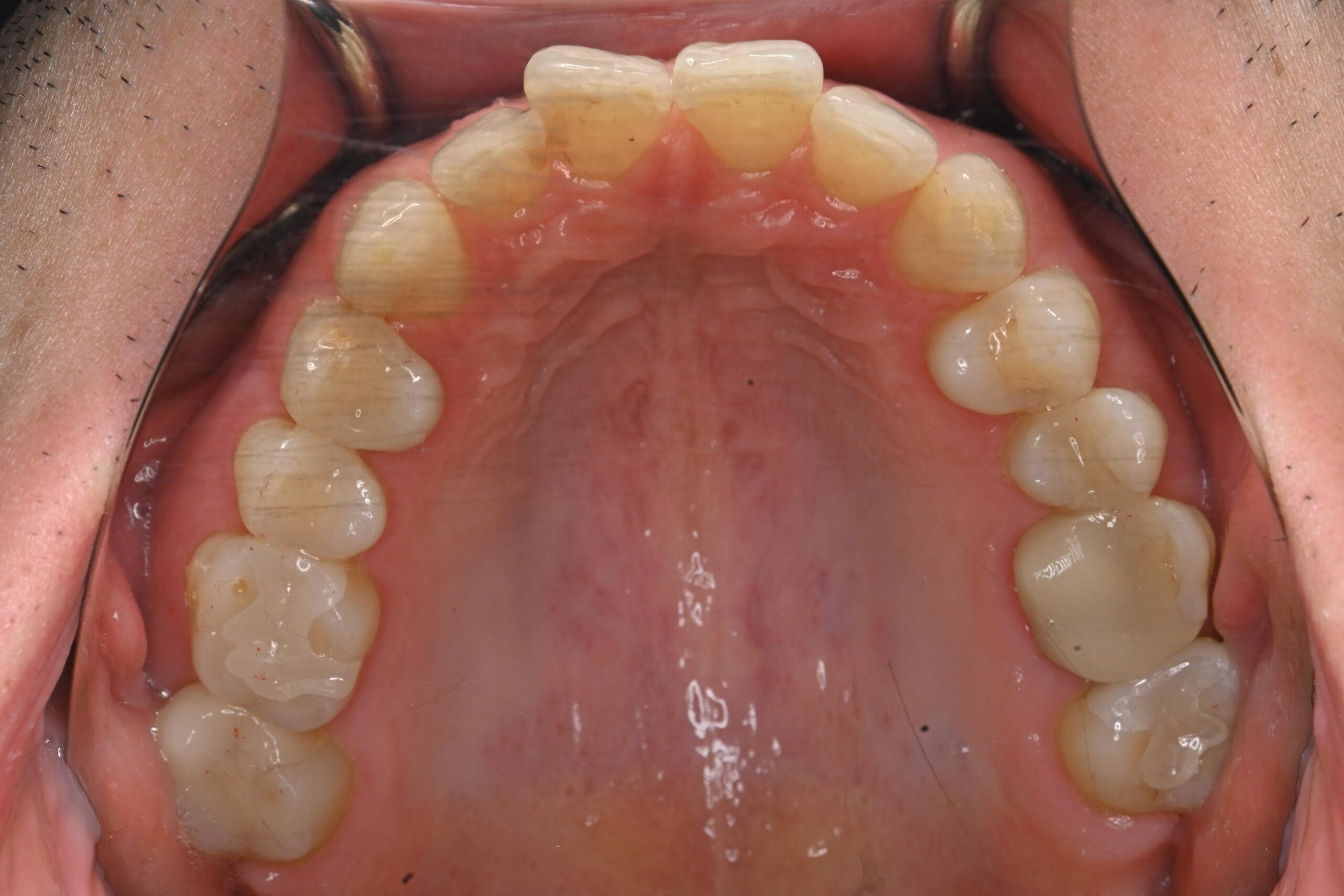
    笑うと見える小臼歯(4番、5番)と大臼歯(6番)については、見た目の良い白い素材を使用しました。
  • 強度重視(ジルコニア):
    特に強度がかかる大臼歯(6番)については、硬く強度の高いセラミック素材であるジルコニアを選択しました。
  • コストダウンと審美性の両立(プラスチック/PMMA):
    比較的、窩洞が浅くて小さい小臼歯(4番、5番)については、コストダウンのご要望もあったため、保険ベースのプラスチック/PMMA素材で詰め物をしました。
  • 素材特性の比較:
    ジルコニアとプラスチックを比べた場合、光の屈折率はプラスチックのほうが天然の歯と近く、色味はナチュラルになりやすいという利点があります。
    しかし、強度の面では、プラスチックは天然歯の約1/5程度の強度しかないため、奥歯など力がかかる部分については破折のリスクを考え強度を重視し、ジルコニアを選択しました。

治療方針としては、見えるところは審美性重視、奥の力がかかるところは強度重視という選択になっています。もし将来的にプラスチック/PMMAが割れてしまった場合は、セラミックやジルコニアへの切り替えをご提案しています。

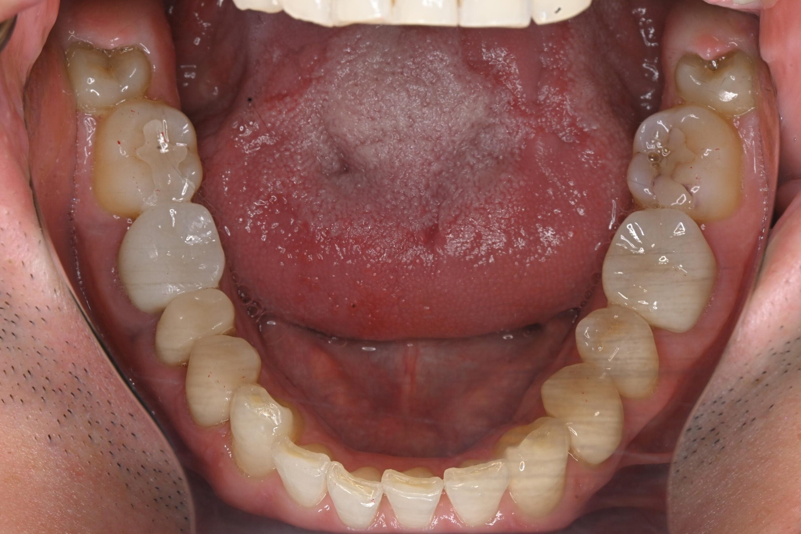
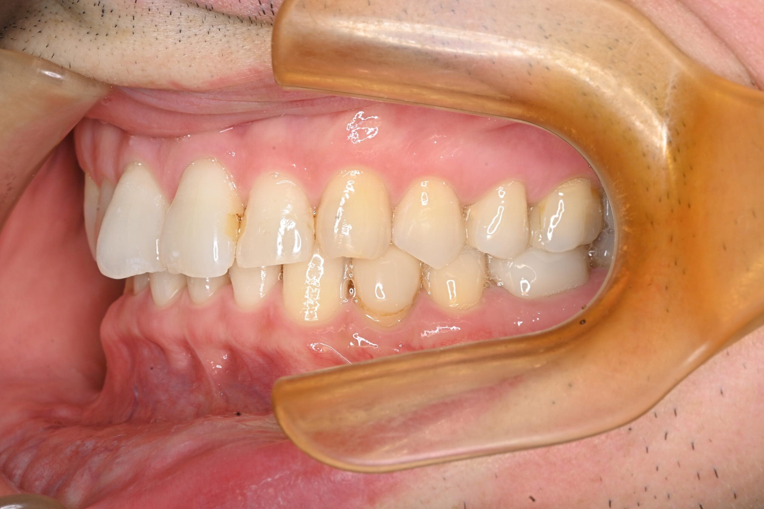
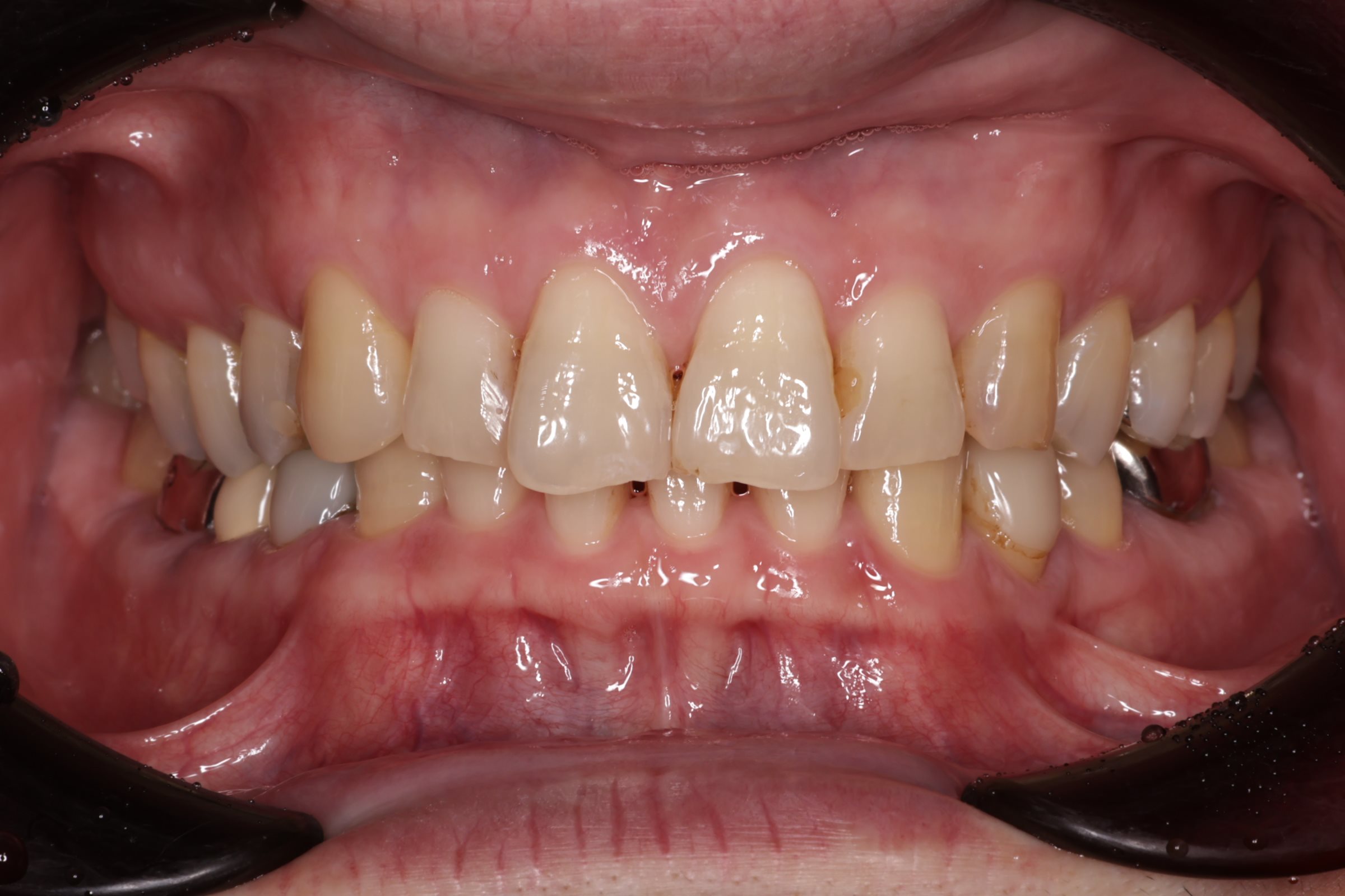
治療結果

全ての金属を非金属素材に置き換え、感染源も除去した結果、治療後は症状が落ち着いている状態が確認されました。 患者様はアレルギーやそれに伴う症状の悩みが大幅に軽減されたようで、非常に喜んでいただけました。

費用・期間・リスク

治療費:
409,000円(インレー、クラウン計5本)

治療期間:
約1か月~(治療部位、根管治療の有無によって変動)。

リスク・副作用:
治療に伴う一般的なリスクとして、一時的な痛みや腫れが生じる可能性があります。また、使用したプラスチック素材はセラミックに比べて強度が劣るため、将来的に破折や摩耗が生じる可能性があります。その場合は、セラミックやジルコニアへの再治療が必要になることがあります。

まとめ

本症例では、金属アレルギーの懸念に加え、古い金属修復物の下に潜んでいた虫歯や感染源を全て取り除き、生体親和性が高く審美性にも優れた非金属素材に置き換えることができました。
患者様が長年抱えていたアレルギーや全身症状に関する悩みが軽減され、大変喜んでいただけたことは何よりでした。
大木歯科医院では、金属アレルギーや審美性、機能性といった様々なご要望に対し、診断根拠 と患者様の希望を踏まえ、最適な材料と効率的な治療計画をご提案いたします。
同じようなお悩みをお持ちの方は、ぜひお気軽にご相談ください。

この記事の編集・責任者は歯科医師の笠井 啓次です。

Before

After

  • このエントリーをはてなブックマークに追加
  • LINEで送る